인지 신경과학으로 보는 뇌의 구조와 기능
1. 인지 신경과학이란 무엇인가?

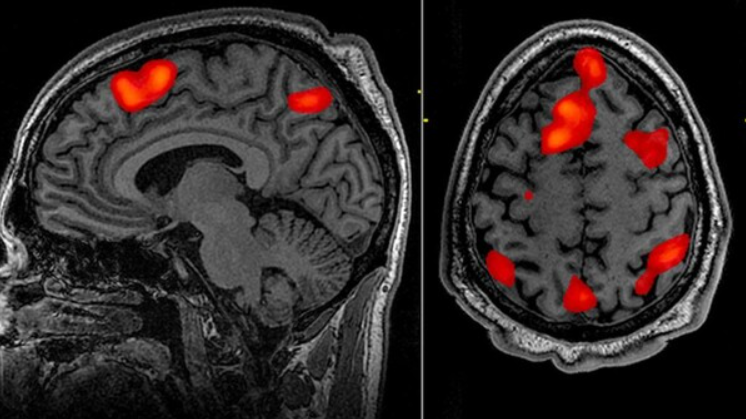
인지 신경과학은 간단히 말해 "우리의 뇌(신경)가 어떻게 생각(인지)을 만들어내는가"를 연구하는 학문이다. 과거에는 심리학이 마음의 작용을 관찰하고, 생물학이 뇌의 구조를 연구하며 각자의 길을 걸었다. 하지만 20세기 후반 fMRI(자기 공명영상) 같은 기술이 발전하면서, 사람이 특정 생각을 할 때 뇌의 어느 부위가 활성화되는지 실시간으로 관찰할 수 있게 되었고, 심리학과 뇌 영상 기술이 결합하며 인지 신경과학이라는 독자적인 영역이 탄생했다.
우리가 사과를 보고 '빨갛다'고 느끼고, 과거의 기억을 떠올리며 슬퍼하거나, 복잡한 비즈니스 전략을 세우는 모든 과정은 뇌세포인 뉴런들의 전기화학적 신호 교환을 통해 이루어진다. 이 메커니즘을 밝혀내는 것이 이 학문의 궁극적인 목표다.
2. 뇌를 들여다보는 기술들

인지 신경과학의 발전은 장비의 발전과 궤를 같이한다. 살아있는 인간의 뇌를 손상시키지 않고 관찰하는 기술들은 마치 '마음의 지도'를 그리는 도구와 같다.
- fMRI (기능적 자기공명영상): 특정 과제를 수행할 때 혈류량이 증가하는 뇌 부위를 촬영한다. '어디서' 인지 작용이 일어나는지 아는 데 탁월하다.
- EEG (뇌전도): 두피에 전극을 붙여 뉴런의 전기적 활동을 측정한다. '언제' 반응이 일어나는지, 즉 시간적 해상도가 매우 높다.
- TMS (경두개 자기 자극술): 자기장으로 뇌의 특정 부위를 일시적으로 활성화하거나 억제한다. 특정 뇌 부위와 기능 사이의 '인과관계'를 증명하는 데 쓰인다.
3. 뇌과학 vs 인지신경과학 어떤 차이가 있을까?
- 뇌과학 (Neuroscience): 뇌와 신경계 전체를 연구하는 거대한 우산과 같다. 분자, 세포 수준의 생물학적 연구부터 신경 질환, 뇌의 구조 등 아주 넓은 범위를 포함한다.
- 인지신경과학 (Cognitive Neuroscience): 그 우산 아래에서 '마음(인지)'과 '뇌'의 연결 고리를 집중적으로 연구하는 분야. " 생각하고, 기억하고, 결정할 때 뇌의 어느 부분이 어떻게 작동하는가?라는 질문에 답을 찾는다.
주요 차이점 요약
| 구분 | 뇌과학 (광의) | 인지신경과학 (협의) |
| 연구 대상 | 신경세포, 시냅스, 뇌 구조, 신경계 질환 등 전체 | 지각, 기억, 언어, 감정, 의사결정 등 인지 기능 |
| 핵심 질문 | "뇌는 어떻게 구성되어 있는가?" | "뇌는 어떻게 마음을 만들어내는가?" |
| 접근 방식 | 생물학, 화학, 유전학 등 | 심리학 + 신경과학 + 컴퓨터 공학 |
🧠 인체에서 가장 정교한 설계도: 뇌의 구조와 기능

인간의 뇌는 크게 대뇌, 소뇌, 간뇌, 뇌간의 네 부분으로 나뉘며, 각 부위는 고유의 전담 업무를 수행한다.
| 구분 | 주요 부위 | 위치 및 형태 | 주요 기능 (비즈니스 비유) |
| 대뇌 (Cerebrum) | 전두엽 | 뇌의 앞부분 | CEO: 의사결정, 전략 수립, 실행 통제, 도덕성 |
| 두정엽 | 뇌의 윗부분 | 데이터 분석가: 공간 감각, 촉각 정보 통합, 수리 계산 | |
| 측두엽 | 뇌의 옆부분(귀 근처) | 기록 보관소: 언어 이해, 청각 처리, 장기 기억 저장 | |
| 후두엽 | 뇌의 뒷부분 | 모니터링 실: 시각 정보 처리 및 이미지 인식 | |
| 소뇌 (Cerebellum) | - | 대뇌 뒤쪽 아래 | 현장 감독: 정밀한 운동 조절, 균형 유지, 근육 기억 |
| 간뇌 (Diencephalon) | 시상 | 뇌의 중심부 | 비서실: 감각 정보를 대뇌로 전달하는 중계소 |
| 시상하부 | 시상 아래쪽 | 시설관리팀: 체온, 허기, 갈증 등 항상성 유지 및 호르몬 조절 | |
| 뇌간 (Brainstem) | 중뇌, 교, 연수 | 뇌의 가장 아래쪽 | 기본 인프라: 호흡, 심장 박동, 수면 등 생명 유지 직결 |
🔍 대뇌 피질의 상세 구조 (4대 엽)

인지 신경과학에서 가장 집중적으로 연구하는 대뇌 피질은 그 기능에 따라 네 개의 '엽(Lobe)'으로 구분된다.
- 전두엽 (Frontal Lobe): 인간을 인간답게 만드는 부위다. 복잡한 문제를 해결하고 미래를 계획한다.
- 두정엽 (Parietal Lobe): 신체 각 부위에서 오는 감각을 통합한다. 물체의 위치를 파악하거나 도구를 다루는 데 필수적이다.
- 측두엽 (Temporal Lobe): 소리를 듣고 그 의미를 파악한다. 특히 좌측 측두엽의 언어 중추는 소통의 핵심이다.
- 후두엽 (Occipital Lobe): 눈으로 보는 모든 정보를 처리한다. 단순히 보는 것을 넘어 형태와 색상을 분석한다.
💡 대뇌의 안쪽, 감정의 중심 '변연계'

뇌 심부의 변연계(Limbic System)는 인간의 본능과 감정을 담당한다.
- 대상회 (Cingulate Gyrus) 감정 조절과 갈등 해결의 중심지. 특정 상황에 집중하거나 부적절한 충동을 억제하는 기능을 수행.
- 해마 (Hippocampus) 기억의 저장소. 학습한 새로운 정보를 단기 기억에서 장기 기억으로 전환, 공간 탐색 능력에 관여.
- 편도체 (Amygdala) 감정의 파수꾼. 특히 공포나 불안 같은 위협적인 감정을 처리, 위험을 감지하고 반응을 이끌어냄.
- 시상하부 (Hypothalamus) 신체의 컨트롤 타워. 체온 유지, 허기, 수면 등 생존에 필수요소를 조절하고 호르몬 분비 통제.
- 시상 (Thalamus) 감각 정보의 중계소. 후각을 제외한 모든 감각 정보를 받아들여 대뇌 피질로 전달하는 역할.
인지신경과학의 발전은 단순한 지식을 넘어 인간이 타인을 이해하고 세상을 인지하는 방식을 근본적으로 바꾸어 놓고 있다. 인지신경과학을 이해하는 것은 내 마음의 작동 원리를 파악하여 더 나은 삶을 설계할 수 있는 '인생 지도'를 손에 넣는 것과 같다.
인지신경과학을 탐구하는 것은 결국 '나는 누구인가'라는 본질적인 질문에 대한 답변을 찾아가는 과정일지 모른다. 우리의 기억, 감정, 그리고 찰나의 선택들이 뇌라는 설계도 위에서 어떻게 그려지는지 이해할 때, 비로소 자신을 객관적으로 바라보고 포용할 수 있게 된다. 오늘 살펴본 뇌의 지도가 독자들의 일상을 해석하는 새로운 이정표가 되기를 바란다.